 
															Das Entfernen der Weisheitszähne zählt zu den häufigsten oralchirurgischen Maßnahmen. Dank etablierter zahnchirurgischer Verfahren wie zum Beispiel der Piezochirurgie und der Lasertherapie hat eine Weisheitszahn-OP jedoch längst ihren Schrecken verloren. Zudem ist nicht jeder Weisheitszahn, der entfernt werden muss, überhaupt ein „Problemfall“. Wenn Weisheitszähne gerade und vollständig aus dem Kiefer herausgewachsen sind, können sie wie jeder andere Zahn gezogen werden.
Die nachfolgende Übersicht gibt Ihnen die wichtigsten Antworten auf Fragen, die uns in der Praxisklinik Herne in puncto Weisheitszahnentfernung immer wieder begegnen. Die Antworten können aber nur als grobe Richtschnur dienen, denn eine Weisheitszahn OP verläuft bei jedem Menschen anders ab. Außerdem gibt es Unterschiede beim individuellen Schmerzempfinden und bei der individuellen Regenerationsfähigkeit.
Die Praxisklinik Herne gibt Ihren Patienten nach der Weisheitszahn OP grundsätzlich einige Verhaltensregeln mit auf den Weg, welche dazu beitragen, Risiken zu minimieren und die Heilung zu beschleunigen.
Natürlich sind wir bei weiteren oder tiefergehenden Fragen auch persönlich für Sie da. Rufen Sie einfach an, um einen Termin mit uns zu vereinbaren.
Eine Weisheitszahn OP ist meist dann erforderlich, wenn Weisheitszähne nicht oder nur teilweise an die Oberfläche gelangen und/oder wenn diese quer liegen und so Druck auf die Nachbarzähne ausüben. Dies kann zu Zahnverschiebungen und Beschädigung von Nachbarwurzeln führen. Ob und wann ein Weisheitszahn gezogen werden muss, erfahren Sie im nachfolgendem Inhalt. Häufig gestellte Fragen und Antworten zum Verhalten nach einer Weisheitszahn OP, finden Sie im Abschnitt „Was Sie danach beachten sollten“.
Für weitere Fragen und Anliegen kontaktieren Sie uns per Telefon oder vereinbaren einen Termin in unserer Praxis.
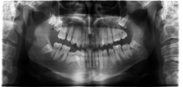
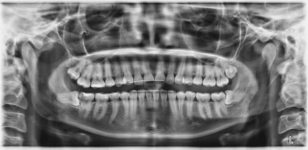
Die jeweils letzten Backenzähne (Molaren) am Ende der Zahnreihen von Ober- und Unterkiefer werden Weisheitszähne genannt. Man nennt sie so, weil sie meist erst zwischen dem 16. und 25. Lebensjahr aus Kieferknochen und Weichgewebe durchbrechen. Häufig kommen bei einem Erwachsenen vier Weisheitszähne vor, doch können es auch weniger sein. Manchmal finden die Weisheitszähne nur teilweise oder gar nicht an die Oberfläche, was zu verschiedenen Problemen führen kann.
Weisheitszähne sind die jeweils letzten Backenzähne am Ende der Zahnreihen von Ober- und Unterkiefer, die meist erst zwischen dem 16. und 25. Lebensjahr aus Kieferknochen und Weichgewebe durchbrechen und aufgrund ihrer Größe oft Probleme bereiten.
 
											Normalweise verfügt ein Mensch über insgesamt 32 Zähne. Dazu gehören bei den meisten Menschen vier Weisheitszähne – je einer in jedem Gebissquadranten. Es gibt aber auch Menschen, die weniger oder gar keine Weisheitszähne entwickeln. Die Gründe sind ein komplexes Zusammenspiel aus individuellen genetischen und evolutionären Faktoren, die letztlich darüber entscheiden, wie viele Weisheitszähne ausgebildet werden.
Grundsätzlich sind Weisheitszähne ein Relikt „aus alten Zeiten“, als die Speisen der Menschen noch härter, zäher und entsprechend schwerer zu kauen waren. Die Kiefer dieser frühzeitlichen Menschen waren deshalb kräftiger ausgebildet als beim modernen Menschen, und die zusätzlichen vier Zähne am Ende der Zahnreihen wurden tatsächlich gebraucht.
Mit fortschreitender Evolution und sich verändernden Ernährungsgewohnheiten hin zu gekochter, weicherer Nahrung bildeten sich das Volumen des Kiefers immer weiter zurück. Die eigentlich überflüssig gewordenen Weisheitszähne hielten mit dieser Entwicklung allerdings und sind deshalb heute noch bei vielen Menschen angelegt. Da Weisheitszähne meist erst zwischen dem 16. und 25. Lebensjahr durchbrechen, müssen sie sich in eine meist schon vollständige Zahnreihe eingliedern, ohne immer den ausreichenden Platz hierfür zu haben. Infolgedessen können sich Schmerzen, Entzündungen oder Zahnfehlstellungen entwickeln.
Spätestens wenn ein Weisheitszahn schmerzt, ist es Zeit, Ihren Zahnarzt aufzusuchen, damit die zugrundeliegenden Erkrankungen behandelt werden können. Nicht immer müssen die Weisheitszähne dazu entfernt werden. Manchmal können die Beschwerden auch mit einem kurzen Eingriff, Antibiotika und/oder einem antiseptischen Mundwasser beseitigt werden. Wichtig ist eine eingehende Diagnostik, um festzustellen, was mit Ihrem Weisheitszahn los ist. Dann kann entschieden werden, ob er den Zahn noch behandelt werden kann oder gezogen werden muss.
 
															Es gibt Fälle, die ein Entfernen der Weisheitszähne sinnvoll erscheinen lassen und manchmal sogar notwendig machen. Häufig sind es nicht oder nur teilweise durchgebrochene (retinierte, teil-retinierte) und/oder schiefe (verlagerte) Weisheitszähne, die gezogen werden müssen. Insbesondere verlagerte Weisheitszähne üben häufig Druck auf die Nachbarzähne aus. Dies kann zu Zahnverschiebungen und Wurzelschädigungen führen.
Wenn Weisheitszähne entweder nur im Oberkiefer- oder nur im Unterkiefer durchbrechen, fehlen ihnen ihre jeweiligen Gegenspieler. Dadurch können sich die Weisheitszähne „verlängern“, das heißt über die Kauflächen hinauswachsen. Mitunter gerät hierdurch das gesamte Kausystem aus der Balance. Unangenehme Kiefergelenkbeschwerden oder Verspannungen in den Gesichtsmuskeln sind mögliche Folgen.
Weisheitszähne können sich oft über lange Zeit „unauffällig“ verhalten. Treten dann, scheinbar aus dem Nichts, plötzlich Beschwerden auf, ist meist eine unzureichende Zahnpflege die Ursache. Da sich Weisheitszähne aufgrund ihrer Lage im Kiefer schwerer pflegen lassen als die übrigen Zähne, lagern sich an ihren Rändern häufig bakterielle Zahnbeläge ab, die mit der Zeit zu Zahn- und Kieferproblemen führen können, darunter:
 
															 
															In der Regel wird aus folgenden Gründen zu einer Entfernung der Weisheitszähne geraten:
In folgenden Fällen kann unter bestimmten Umständen auf die Entfernung der Weisheitszähne verzichtet werden:
Die häufigste Ursache für einen entzündeten Weisheitszahn ist eine Ansammlung von Bakterien im umliegenden Zahnfleisch. Diese Bakterienansammlungen treten in der Regel in Vertiefungen zwischen Zahn und Zahnfleisch (Sulcus gingivalis) bzw. in Zahnfleischtaschen hinter dem Weisheitszahn auf und lassen sich ohne zahnärztliche Unterstützung kaum entfernen. Infolgedessen kann es zu einer Infektion des Gewebes kommen, die sich unbehandelt ausbreiten oder zu gesundheitsschädlichen Abszessen führen kann.
Typische Anzeichen für eine Weisheitszahnentzündung sind:
Nachfolgend geben wir Ihnen eine Schnellübersicht häufiger Symptome und Beschwerden, die darauf hinweisen können, dass die Weisheitszähne Probleme bereiten und eventuell entfernt werden sollten. Ob dies wirklich notwendig ist, kann jedoch nur Ihr behandelnder Zahnarzt bzw. Zahnchirurg beurteilen.
Infografiken zu diesem Abschnitt herunterladen



Das optimale Alter für die Entfernung von Weisheitszähnen liegt zwischen 16 und 25.* In dieser Lebensphase sind die Wurzeln der Weisheitszähne oftmals noch nicht vollständig ausgebildet, der Kieferknochen elastischer und der Heilungsprozess verläuft meist schneller und komplikationsärmer als in höheren Altersbereichen.
* Vorausgesetzt es liegt eine medizinische Indikation vor
Die aktuelle Studienlage zur Frage, ob Weisheitszähne Zahnfehlstellungen verursachen können, ist uneinheitlich. Ein eindeutiger ursächlicher Zusammenhang konnte bislang nicht nachgewiesen werden. Sicher ist jedoch, dass beim Durchbruch der Weisheitszähne ein gewisser mechanischer Druck auf die benachbarten Backenzähne entstehen kann.
Dass dieser Druck allein zu sichtbaren, behandlungsbedürftigen Zahnverschiebungen führt, ist überwiegend unwahrscheinlich – insbesondere im Vergleich zu anderen Einflüssen wie Wachstumsschüben oder fehlenden Retentionsmaßnahmen nach einer kieferorthopädischer Behandlung.
Unabhängig davon können Weisheitszähne andere Komplikationen wie Entzündungen (z. B. Perikoronitis), Zahnverlagerungen oder Kiefergelenkbeschwerden verursachen, die eine Behandlung oder ggf. Entfernung erforderlich machen.
Kurz gesagt: Weisheitszähne sind in der Regel nicht für Zahnfehlstellungen verantwortlich. Da sie beim Durchbrechen andere Probleme verursachen können, sollte die individuelle Situation aber zur Sicherheit immer mit einem Zahnarzt oder Kieferchirurgen abgeklärt werden.
Nein, wenn ein Weisheitszahn entfernt wurde, kann er nicht nachwachsen.
Fälle, in denen Menschen von nachwachsenden Weisheitszähnen berichten, sind in der Regel auf bei den Röntgenaufnahmen „übersehene“ Weisheitszähne, Hyperdontie (d.h. es sind mehr als vier Weisheitszähne im Kiefer angelegt) oder im Kiefer verbliebene Wurzelstücke, die mit den Jahren an die Oberfläche wandern, zurückzuführen.
Wenn Sie also das Gefühl haben, dass ein entfernter Weisheitszahn „nachwächst“, sollten Sie die Situation umgehend mit Ihrem Zahnarzt oder Kieferchirurgen besprechen und eine erneute Röntgendiagnostik in Betracht ziehen.
Nein, gibt es keine Indikationen, die für eine schnellstmögliche Entfernung sprechen, können Weisheitszähne auch in mehreren Etappen entfernt werden. Dieses Vorgehen verringert die Einschränkungen, die Patienten nach einer Weisheitszahn OP beim Essen und Trinken hinnehmen müssen. Gleichzeitig verlängert sich durch mehrere einzelne chirurgische Eingriffe der Zeitraum, der für die Wundheilung benötigt wird. Ob alle vier Weisheitszähne auf einmal gezogen werden können (bzw. müssen) oder die Operation auch in mehreren Schritten vollzogen werden kann, klären Sie bestenfalls mit Ihrem behandelnden Zahnarzt oder Zahnchirurgen.
Eine lokale Betäubung reicht für eine Weisheitszahn OP in der Regel aus – selbst dann, wenn alle vier Weisheitszähne zugleich gezogen werden. Ihr Zahnarzt wird Ihnen hierfür je zwei Betäubungsspritzen im Oberkiefer und Unterkiefer setzen und so das OP-Areal vollständig betäuben. Viele Zahnärzte empfehlen Ihren Patienten bei aufwendigeren Weisheitszahn-Entfernungen oder Zahnarztangst die Vollnarkose oder eine Sedierung. Beides kann in der Praxisklinik Herne unter der Leitung eines erfahrenen Anästhesisten durchgeführt werden.
Eine leichte Erkältung muss nicht zwingend gegen eine Weisheitszahn-OP sprechen. Die individuelle Situation sollte jedoch frühestmöglich mit der behandelnden Praxis abgeklärt werden. Da eine leichte Erkältung als relative, nicht aber absolute Kontraindikation gilt, liegt Entscheidung für oder gegen die Behandlung im Ermessen des behandelnden Zahnarztes bzw. Zahnchirurgen.
Bei stärkeren Symptomen wie Fieber, starken Halsschmerzen und anhaltendem Husten muss das Entfernen der Weisheitszähne meist verschoben werden, da beispielsweise Husten und Schnupfen eine OP verkomplizieren. Zusätzlich muss bei einer durch einen grippalen Infekt bedingten vorübergehenden Schwächung des Immunsystems davon ausgegangen werden, dass die Wundheilung beeinträchtigt wird und sich die Chance auf postoperative Infektionen erhöht.
Wir empfehlen das Verschieben Ihrer Weisheitszahn-OP in folgenden Fällen:
Nein, für eine Weisheitszahn OP müssen Sie nicht ins Krankenhaus. Heute werden Weisheitszahnentfernungen in der Regel ambulant beim Zahnarzt oder Oralchirurgen durchgeführt – selbst wenn alle vier Zähne auf einmal gezogen werden.
Ein einzelner Weisheitszahn wird fast immer unter lokaler Betäubung extrahiert. Wenn jedoch mehrere Weisheitszähne an einem Termin entfernt werden sollen, erleichtert eine Vollnarkose oder Sedierung den Eingriff deutlich. In diesen Fällen kann es sinnvoll sein, eine auf Oralchirurgie spezialisierte Spezialklinik mit einem erfahrenen Anästhesisten aufzusuchen. Eine Übernachtung ist nahezu allen Fällen jedoch nicht erforderlich.
Wir empfehlen folgende Schritte vor einer Weisheitszahn-OP, damit der Eingriff möglichst komplikationsarm verläuft:
 
															Wenn der Weisheitszahn gerade Wurzeln hat, nicht verlagert und vollkommen durchgebrochen ist, kann ihn jeder gut ausgebildete Zahnarzt ziehen. Für die operative Entfernung von Weisheitszähnen sollte der Zahnarzt allerdings eine oralchirurgische Spezialausbildung haben.
Unser Oralchirurg Dr. Mintert ist sehr erfahren im Ziehen und Herausoperieren von Weisheitszähnen. Er betrachtet dennoch keinen Eingriff als „Routine“ und wird Sie sehr individuell und einfühlsam behandeln.
Bei der Weisheitszahnentfernung ist eine gründliche Voruntersuchung von entscheidender Bedeutung. Durch eine umfassende Voruntersuchung und die Verwendung eines dreidimensionalen DVT-Röntgenbildes kann der Zahnarzt oder Oralchirurg die genaue Lage der Weisheitszähne präzise bestimmen und den Eingriff planen. Dies minimiert das Risiko einer Verletzung des sensiblen Unterkiefernervs und verringert die Gefahr einer vorübergehenden Taubheit der Unterlippe. Während des Eingriffs erfolgt in den meisten Fällen ein Schleimhautschnitt, gefolgt von der Freilegung der Zahnkrone, der möglichen Teilung des Zahns und der Entnahme der einzelnen Zahnteile. Abschließend wird die Wunde mit Nähten verschlossen.
Für eine bessere Übersicht stellen wir nun eine typische chirurgische Weisheitszahn-OP dar.
Sie sehen gerade einen Platzhalterinhalt von Vimeo. Um auf den eigentlichen Inhalt zuzugreifen, klicken Sie auf die Schaltfläche unten. Bitte beachten Sie, dass dabei Daten an Drittanbieter weitergegeben werden.
Mehr InformationenNach eingehender Diagnostik und Planung des Eingriffs verläuft eine Weisheitszahn Operation meist in folgenden Schritten:
Infografiken zu diesem Abschnitt herunterladen
Ob die Wunde nach einer Weisheitszahn Extraktion vernäht werden muss, hängt von dem Umfang des Eingriffs ab. Durch den Einsatz von Laser und der Piezochirurgie kann der Oralchirurg den Eingriff für den Patienten deutlich schonender und angenehmer gestalten als mit den klassischen Skalpellen, Bohrern und chirurgischen Fräsen. Der Einsatz des Softlasers mit sterilisierender und blutstillender Wirkung im Anschluss an die Behandlung ist heilungsfördernd und darum auf jeden Fall empfehlenswert.
In den meisten Fällen dauert eine Weisheitszahn OP nicht länger als 20 Minuten. Je nach Anzahl der zu entfernenden Zähne, der Komplexität des Eingriffs sowie der gewünschten Form der Anästhesie kann die benötigte Zeit jedoch deutlich variieren. So kann die Entfernung aller vier Weisheitszähne innerhalb einer einzelnen Sitzung mitunter auch bis zu 60 Minuten beanspruchen.
Die Piezochirurgie im Rahmen der Weisheitszahn-Extraktion hat viele Vorteile für die Patienten. Diese moderne Operationstechnik arbeitet mit Ultraschall und wird häufig zum Schneiden oder Abtragen von Knochen eingesetzt. Der piezochirurgische Eingriff wirkt ausschließlich auf den Knochen ein, ohne dabei das umgebende Weichgewebe zu verletzen. Postoperative Schwellungen und Schmerzen können so reduziert und die Wundheilung beschleunigt werden.
Wie jeder chirurgischer Eingriff birgt auch die Entfernung von Weisheitszähnen gewisse Risiken für Komplikationen, die jedoch mit einer umfassenden Diagnostik und durch den Einsatz schonender Behandlungsmethoden sehr gering gehalten werden können.
Sie sehen gerade einen Platzhalterinhalt von YouTube. Um auf den eigentlichen Inhalt zuzugreifen, klicken Sie auf die Schaltfläche unten. Bitte beachten Sie, dass dabei Daten an Drittanbieter weitergegeben werden.
Mehr InformationenTipps nach der (Weisheits-)Zahn OP – Das sind die Gebote!
Sie sehen gerade einen Platzhalterinhalt von YouTube. Um auf den eigentlichen Inhalt zuzugreifen, klicken Sie auf die Schaltfläche unten. Bitte beachten Sie, dass dabei Daten an Drittanbieter weitergegeben werden.
Mehr InformationenTipps nach der (Weisheits-)Zahn OP – Was hilft gegen Schwellungen?
Infografiken zu diesem Abschnitt herunterladen
Bei einigen Patienten treten fast gar keine Schwellungen auf, bei anderen können sie bis zu 7 Tage anhalten. Ob eine Schwellung entsteht, wie stark sie ist und wie lange sie dauert, hängt von jedem Einzelfall ab. Sie richtet sich nach der Schwere des Eingriffs und der allgemeinen Regenerationsfähigkeit der Patienten.
Gut zu wissen: eine Sterilisation des OP Bereiches mit Laser (Lasertherapie) vor und nach dem Eingriff kann …
Gegen die Schwellungen nach einer Weisheitszahn OP hilft:
Gegen die “Hamsterbacken” nach dem Ziehen der Weisheitszähne können Sie eine Menge selbst tun. Es ist auf jeden Fall hilfreich, bereits vor dem Eingriff zu Hause kalte Waschlappen oder Kühlpacks vorzuhalten, auch wenn Sie sie vielleicht nicht brauchen. Gerne erklärt Ihnen Ihr Zahnarzt in Herne, wie Sie „richtig kühlen“. Wichtig ist, dass Kühlpacks nie direkt auf die Haut aufgelegt, sondern vorher in ein Tuch gewickelt werden.
Ein Taubheitsgefühl nach einer Weisheitszahn-OP kann verschiedene Gründe haben. Als Auswirkung der lokalen Betäubung klingt die Taubheit üblicherweise nach 3 – 6 Stunden ab. Im Falle einer Nervenreizung, einer Druckschwellung oder eines Hämatoms kann das Taubheitsgefühl auch über mehrere Tage bis zu zwei Wochen andauern. Eine längere Taubheit verbunden mit einem Kribbeln oder einer Überempfindlichkeit, jedoch ohne feststellbare Besserung sollte baldmöglichst mit dem behandelnden Zahnarzt abgeklärt werden, um einen Nervenschaden auszuschließen.
Die Schmerzen nach einer Weisheitszahn OP können 7 bis 14 Tage anhalten, allerdings mit abklingender Intensität. Sollten die Schmerzen trotz ausreichend Ruhe, Kühlung und Schmerzmittel nicht nachlassen, zögern Sie nicht unsere Praxis aufzusuchen.
Die Schmerzentwicklung nach einer Weisheitszahn-OP ist nicht bei jedem Menschen gleich und hängt auch von der individuellen Wundheilung ab. Deshalb kann Ihr Zahnarzt die Dauer eventuell auftretender Schmerzen auch nicht mit Bestimmtheit voraussagen. Geeignete und richtig dosierte Schmerzmittel sorgen aber dafür, dass Schmerzen nach dem Ziehen der Weisheitszähne in einem erträglichen Maße auftreten.
Ihr Zahnarzt wird Ihnen das für Sie geeignete Schmerzmedikament mitgeben oder verschreiben. Sehr gut eignet sich Ibuprofen und Paracetamol. Ibuprofen wirkt nicht nur sehr gut gegen Schmerzen, sondern ist zugleich auch entzündungshemmend.
Basierend auf den Empfehlungen des IQWiG haben sich die nachfolgenden medikamentösen Schmerztherapien im Rahmen einer Weisheitszahn-Operation bewährt:
| Wirkstoff | Wirkung | Dosierungsempfehlungen* | 
|---|---|---|
| Ibuprofen | schmerzstillend, entzündungshemmend | 400 – 600 mg alle 6 – 8 Std., maximal 1.200 mg/Tag (nach med. Abklärung bis zu 2.400 mg/Tag) | 
| Paracetamol | schmerzstillend, fiebersenkend | 500 – 1.000 mg alle 6-8 Std., maximal 4.000 mg/Tag | 
| Ibuprofen + Paracetamol kombiniert | Bessere Schmerzlinderung als durch Einzeleinnahme | Nur nach ärztlicher Rücksprache | 
* Dosierungsempfehlungen für Erwachsene ohne Vorerkrankungen. Bei Einnahme anderer Medikamente (wie Blutverdünnern), chronischen Erkrankungen oder bekannten Allergien, ist eine Rücksprache mit Ihrem Zahnarzt zwingend erforderlich.
Wichtig: Nehmen Sie auf keinen Fall Aspirin. Der in Aspirin enthaltene Wirkstoff Acetylsalicylsäure ist ungeeignet, da er blutverdünnend wirkt und deshalb die postoperative Blutungsneigung und damit das Infektionsrisiko erhöht.
In der Homöopathie wird nach einer Weisheitszahn-OP häufig auf Arnica Globuli gesetzt (welche ergänzend eingesetzt werden können, die zuvor beschriebenen medikamentösen Schmerztherapien nicht ersetzen können).
Dass die Schmerzen nach einer Weisheitszahnentfernung in den ersten Nächten häufig als stärker wahrgenommen werden, liegt vor allem daran, dass Schmerzmedikamente wie Ibuprofen oder Paracetamol, die nach einer Weisheitszahnextraktion üblicherweise eingenommen werden, eine Wirkdauer von 4 bis 8 Stunden besitzen und somit meist gegen Abend nachlassen, wenn sie am Morgen oder frühen Nachmittag eingenommen werden.
Die Schmerzen sind somit nicht unbedingt stärker, sondern treten mit nachlassender Wirkung der Medikamente schlicht wieder stärker in den Vordergrund der Wahrnehmung und werden deshalb subjektiv als intensiver empfunden. Wenn in den Abendstunden Ruhe einkehrt, entfallen zudem viele Reize und Aktivitäten, die von den Schmerzen ablenken können. So nimmt der Schmerz mehr Platz im Bewusstsein ein.
Darüber hinaus kommt es in liegender Position zu einer verstärkten Durchblutung des Kopf- und Kieferbereichs, was den Druck auf das empfindliche Gewebe und die umliegenden Nerven erhöht und oft als Spannungs- oder Druckgefühl wahrgenommen wird – insbesondere in den ersten 2 bis 3 Tagen, wenn die Schwellungen noch nicht abgeklungen, sondern vergleichsweise ausgeprägt sind. Eine leicht erhöhte Schlafposition kann diesem Umstand jedoch üblicherweise gut entgegenwirken
Oft hören die postoperativen Blutungen bereits wenige Stunden nach dem Eingriff wieder auf. Schwächere Blutungen bis zu drei Tage nach dem Eingriff gelten aber auch noch als normal. Bedenken Sie: das austretende Blut ist mit Speichel vermischt. Dadurch wirkt die Menge des Blutes größer als sie tatsächlich ist. Bei starken Blutungen oder Blutungen, die länger andauern, sollten Sie aber auf jeden Fall Ihren Zahnarzt oder die Praxisklinik Herne aufsuchen.
Wichtig: möglichst nicht niesen und Nase putzen.
Sind Weisheitszähne aus dem Oberkiefer entfernt worden, sollten Sie in den ersten Tagen nach dem Eingriff versuchen, das Niesen zu unterdrücken und das Nase putzen zu vermeiden, da beides zu Nachblutungen führen kann.
Ja, direkt nach einer Weisheitszahn-OP sollte man kräftiges Naseputzen und Niesen möglichst vermeiden – idealerweise für etwa ein bis zwei Wochen. Der Grund ist, dass der entstehende Druck in Kopf und Kiefer (und damit auf das Operationsgebiet) das Risiko für Nachblutungen erhöht, weil das die Wunde verschließende Blutgerinnsel (Blutkoagel) aufreißen kann.
Zudem liegen die Oberkiefer-Weisheitszähne oft nahe an der Kieferhöhle. Wenn beim Niesen Luft und Keime in die Wunde gedrückt werden, erhöht sich auch die Gefahr einer Kieferhöhlenentzündung.
Vorsichtiges Schnäuzen ist in den meisten Fällen jedoch absolut unproblematisch. Wenn das Niesen nicht zu verhindern ist, empfiehlt es sich zu versuchen, „mit offenem Mund“ zu niesen, um einen gewissen Druckausgleich zu bewirken und die Belastung zu verringern.
Wann die Fäden gezogen werden, hängt von den folgenden Faktoren ab:
Im Schnitt werden die Fäden etwa 7 Tage nach der Extraktion der Weisheitszähne gezogen. Bei einigen Patienten werden die Fäden aber auch früher oder später entfernt. Gründe für eine spätere Entfernung der Fäden können Nachblutungen oder eine plastische Deckung sein
Das Fädenziehen ist eine Standardprozedur, die in wenigen Minuten erledigt ist und in der Regel wenig bis gar keine Schmerzen verursacht. Da die Wunde bereits weitgehend verheilt ist, spüren die meisten Patienten lediglich ein kurzes, leicht unangenehmes Ziehen, wenn der Faden extrahiert wird.
Sind im Oberkiefer Weisheitszähne verlagert, kann es notwendig werden, zu ihrer Entfernung die Kieferhöhle oder Nasenhöhle zu öffnen. Die dabei entstehende Öffnung wird nach der Zahnentfernung durch einen dichten Wundverschluss, plastische Deckung genannt, geschlossen.
Im Schnitt werden Patienten, denen die Weisheitszähne entfernt wurden, für drei bis sieben Tage krankgeschrieben. Nach einer Woche erfolgt meist eine Kontrolle durch den behandelnden Zahnarzt oder Oralchirurgen. Bei Bedarf wird er Ihre Krankschreibung verlängern.
Nach einer Weisheitszahn-OP sollte in der Regel mindestens 3 bis 5 Tage starke körperliche Belastungen vermieden werden, um eine Beeinträchtigung der Wundheilung und Nachblutungen zu vermeiden. Bei einem verzögerten Heilungsverlauf können sogar 7 bis 10 Tage angeraten sein.
Unsere Empfehlungen in der Schnellübersicht
| Aktivität | Wieder erlaubt ab…* | Zusatzhinweis | 
|---|---|---|
| Normale Bewegung, Spazierengehen | Tag 1 – 2 | Anstrengungsarme Betätigungen, in Maßen | 
| Körperlich leichte Arbeit (bspw. Büro / Homeoffice) | Tag 1 – 3 | Bei gutem Allgemeinbefinden | 
| Körperlich anstrengende Arbeit (bspw. Bauhandwerk, Pflege, Gastronomie) | Tag 5 – 10 | Schwellungen / Blutungen abgeklungen, Schmerzfrei | 
| Sport (Fitness, Krafttraining, Radfahren, Schwimmen) | Tag 7 – 14 | Nach vollständiger Ausheilung | 
| Sauna, Solarium | Tag 7 – 14 | Wärme erhöht Chance auf Nachblutungen | 
| Flugreisen | Tag 3 – 5 | Sicherer bei längerer Ruhephase | 
Auf Sport sollten Sie nach dem Ziehen der Weisheitszähne etwa zwei Wochen lang verzichten, da dieser den Blutdruck erhöht, wodurch es zu Nachblutungen kommen kann. Den Besuch von Sauna und Solarium sollten Sie ebenfalls auf einen Zeitpunkt nach der völligen Ausheilung des Zahnfaches legen.
Rauchen gefährdet die Wundheilung. Deshalb sollten Sie nach dem Eingriff bis zur endgültigen Heilung und am besten auch einige Tage vor der Weisheitszahn-Operation nicht rauchen.
Wir empfehlen unseren Patienten, die Zähne 24 Stunden nach dem Eingriff nicht zu putzen. Anschließend dürfen Sie die Zähne unter Aussparung des Wund-Areals wieder mit einer weichen Zahnbürste und Zahnseide reinigen. Hilfreich und vorbeugend gegen Entzündungen sind auch Spülungen mit Mundwasser, das Chlorhexidin enthält. Diese sind allerdings nicht für den Dauergebrauch geeignet. Ihr Zahnarzt in Herne wird Ihnen alle wichtigen Informationen zur Pflege Ihrer Zähne nach dem Eingriff noch einmal mit auf den Weg geben.
Wir empfehlen Ihnen, nach dem Eingriff erst einmal ein paar Stunden nichts zu essen. Wasser und nicht zu heißen Tee (keinen Schwarztee!) dürfen Sie aber trinken. Danach können Sie mit einer Suppe oder einer breiigen Speise beginnen, um Schmerzen beim Kauen zu verhindern. Diese Ernährungsweise können Sie auch noch einen weiteren Tag beibehalten, wenn Sie sich gut damit fühlen.
Vermeiden Sie während der Wundheilungsphase den Verzehr von Vollkornprodukten oder anderen “krümeligen” Lebensmitteln, da Körner und Krümel zu Entzündungen im operierten Areal führen können.
Auf den Genuss von Kaffee, schwarzem Tee und Energy Drinks sollten Sie in den ersten Tagen nach der Weisheitszahn-OP komplett verzichten. Das in diesen Getränken enthaltene Koffein steigert den Blutdruck. Je höher der Blutdruck, umso größer das Risiko von Nachblutungen. Da Alkohol die Blutgerinnung hemmt, sollten Sie auch alkoholhaltige Getränke auf jeden Fall meiden.
Infografiken zu diesem Abschnitt herunterladen
Der Verzicht auf Milchprodukte nach einer Weisheitszahnentfernung wird in den aktuellen zahnmedizinischen Leitlinien nicht gefordert. Eine Gefährdung des Heilungsprozesses durch den Konsum von Milchprodukten ist derzeit ebenfalls nicht belegt. (Vgl. Artikel ZM Online)
Wir empfehlen dennoch, zumindest in den ersten Tagen nach einer Weisheitszahn-Operation auf Milchprodukte zu verzichten, um die Keimbelastung zu verringern. Die in Milchprodukten enthaltenen Proteine und Fette können insbesondere in Kombination mit der nach der Operation erschwerten Mundhygiene das Wachstum bestimmter Bakterien fördern und so das Risiko für Infektionen und Entzündungen erhöhen. Das gilt umso mehr für feste, krümelige oder klebrige Nahrungsmittel auf Milchbasis, wie beispielsweise Hartkäse, da sich in der OP-Wunde Speisereste sammeln können, die die Wundheilung beeinträchtigen.
Milde, weiche oder flüssige Milchprodukte sind in den meisten Fällen jedoch spätestens nach einigen Tagen unbedenklich. Ein genereller, uneingeschränkter Verzicht über einen längeren Zeitraum ist also nicht zwingend notwendig.
80 % der sich in Behandlung befindlichen Jugendlichen und Heranwachsenden haben Probleme mit dem Durchbruch von Weisheitszähnen. Welche Informationen für die Eltern nun wichtig sind, um über die nächsten Schritte entscheiden zu können, das erläutert Dr. Rüdiger Mintert von der Zahnärztlichen Praxisklinik Herne in diesem Video.
Folgende Fragen werden beantwortet:
Sie sehen gerade einen Platzhalterinhalt von YouTube. Um auf den eigentlichen Inhalt zuzugreifen, klicken Sie auf die Schaltfläche unten. Bitte beachten Sie, dass dabei Daten an Drittanbieter weitergegeben werden.
Mehr InformationenWenn eine medizinische Notwendigkeit besteht, übernehmen die gesetzlichen Krankenkassen (GKV) in der Regel die Kosten für eine Weisheitszahnentfernung. Dazu gehören u. a. das Vorgespräch, die Röntgendiagnostik (Standardaufnahme), die lokale Betäubung, die Operation selbst sowie die Nachsorge.
Auch eine Vollnarkose kann übernommen werden, sofern sie medizinisch erforderlich ist – z. B. bei dokumentierter Zahnarztangst, stark eingeschränkter Kooperationsfähigkeit (z. B. bei Menschen mit Behinderung) oder besonders komplexen chirurgischen Eingriffen. Die Narkose wird dabei durch speziell qualifiziertes medizinisches Personal (in der Regel ein Facharzt für Anästhesiologie) durchgeführt.
Wunschleistungen, wie eine Vollnarkose oder Sedierung ohne medizinische Indikation, müssen in der Regel selbst gezahlt werden – ebenso Zusatzleistungen wie ein 3D-Röntgen. Bei privat Versicherten richtet sich die Kostenübernahme nach dem individuellen Tarif. Häufig sind dort auch Wunschleistungen wie Sedierung oder 3D-Röntgen abgedeckt.
| Leistung | Kostenübernahme (GKV) | 
|---|---|
| Voruntersuchung und Aufklärung | + | 
| Röntgenbilder | + | 
| Örtliche Betäubung (Lokalanästhesie) | + | 
| Vollnarkose (bei med. Indikation) | + | 
| Operative Entfernung der Weisheitszähne | + | 
| Medikamente zur Schmerzbehandlung und Antibiotika | Teilweise – mit gesetzlicher Zuzahlung (max. 10 €) | 
| Nachsorge und Kontrolle | + | 
| Zusatzleistung | Kostenübernahme (GKV) | Kosten | 
|---|---|---|
| 3D-Röntgenbilder (DVT) | – | ~ 200 € | 
| Dämmerschlaf (Sedierung) | – | ~ 250 – 400 € | 
| Vollnarkose auf Wunsch | – | ~ 100 – 200 € | 
Über die nachfolgenden Schaltflächen können Sie alle auf unserer Seite verlinkten Infografiken gesammelt als einzelnes Dokument herunterladen.
Alle Infografiken zum Thema Weisheitszähne & Weisheitszahn-OP herunterladen
Sie sehen gerade einen Platzhalterinhalt von Vimeo. Um auf den eigentlichen Inhalt zuzugreifen, klicken Sie auf die Schaltfläche unten. Bitte beachten Sie, dass dabei Daten an Drittanbieter weitergegeben werden.
Mehr InformationenSie sehen gerade einen Platzhalterinhalt von YouTube. Um auf den eigentlichen Inhalt zuzugreifen, klicken Sie auf die Schaltfläche unten. Bitte beachten Sie, dass dabei Daten an Drittanbieter weitergegeben werden.
Mehr InformationenSie müssen den Inhalt von reCAPTCHA laden, um das Formular abzuschicken. Bitte beachten Sie, dass dabei Daten mit Drittanbietern ausgetauscht werden.
Mehr InformationenSie sehen gerade einen Platzhalterinhalt von ProvenExpert.com. Um auf den eigentlichen Inhalt zuzugreifen, klicken Sie auf die Schaltfläche unten. Bitte beachten Sie, dass dabei Daten an Drittanbieter weitergegeben werden.
Mehr Informationen